Professor Dr. med. Marc Brockmann WEITERENTWICKLUNGEN VON KOPF BIS FUSS BEIM VC Oberstarzt Dr. med. Stephan Waldeck DEEP-LEARNING-REKONSTRUKTION IN DER NEURORADIOLOGIE Die CT ist ein essentielles Routine-Verfahren in der Neuroradiologie. Bei steigender Bildqualität konnte die Röntgendosis mit neuen Technologien in der letzten Dekade deutlich gesenkt werden, was für die zielgerichtete und möglichst schonende Behandlung von Patienten von großer Bedeutung ist. […]
Categories: WebinarHNO & Radiologie: gemeinsam durch die NNH – ein Joint Venture (Webinar | Online)
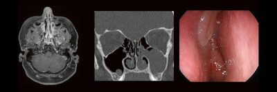
Dr. med. André ReisbergDr. med Sebastian Plößl Die bildgebende HNO-Diagnostik macht es Anfängern nicht leicht. Die Anatomie ist komplex und weniger intuitiv als in anderen Körperregionen. Normvarianten erschweren insbesondere in den Nasennebenhöhlen den Lernprozess. Sobald pathophysiologische Zusammenhänge verstanden und wichtige klinische Aspekte verinnerlicht wurden, gelingt es einen praxistauglichen, belastbaren Befund zu erstellen. Wo muss ich eigentlich hinschauen? Was will der […]
Categories: WebinarDual-Energy CT der Wirbelsäule: Technik und klinische Praxis (Webinar | Online)
Professor Dr. med. Matthias PumbergerPD Dr. med. Torsten Diekhoff Die Dual-Energy-Computertomographie (DECT) hat für viele klinische Anwendungen bereits Einzug in die Praxis genommen. Für die Behandlung von Wirbelsäulenerkrankungen sind besonders die Darstellung von Knochenmarkveränderungen (z. B. bei osteoporotischen Frakturen) und der Bandscheibe (z. B. bei Bandscheibenvorfällen) interessant und werden intensiv beforscht. Hierdurch versprechen wir uns eine schnellere Therapie für unsere […]
Categories: WebinarOutside the box-Vortrag: die Neuroradiologie der Moral (Webinar | Online)
Professor Dr. med. Michael Knauth Das Treffen moralischer Entscheidungen erfordert – wie jede andere Hirnleistung auch – das Zusammenwirken verschiedener Hirnareale. Der Vortrag nimmt auf eine interaktive Reise durch die Mehrzügeligkeit moralischer Entscheidungen (emotional vs. utilitaristisch) und gängiger moralischer Dilemmata (Trolley-Problem) und führt schließlich zu den mit dem Treffen dieser Entscheidungen befassten Hirnregionen und zu den Auswirkungen auf moralische Entscheidungen […]
Categories: WebinarMR-Spektroskopie: Hintergründe und Anwendung im klinischen Alltag – Teil 2 (Webinar | Online)
Dr. med. Urspeter Knecht Die MR-Spektroskopie – eine oft unterschätze Untersuchungsmethode – kann im Rahmen eines molekularen Fingerprints ein Game Changer sein in der neuroradiologischen Bildgebung. Eine Zusammenstellung von Hintergründen, Pitfalls, Aha-Erlebnissen, Nutzen und Risiken – Teil 2 Eventdatum: Mittwoch, 22. November 2023 17:00 – 18:00 Eventort: Online Firmenkontakt und Herausgeber der Eventbeschreibung: Canon Medical Systems GmbHHansemannstr. 6741468 NeussTelefon: +49 […]
Categories: WebinarBildnachverarbeitung in der CT (Webinar | Online)
Alex Riemer Moderne CT-Scanner unterstützen die Anwenderinnen und Anwender bei der Durchführung der meisten CT-Untersuchungen. Hierzu zählt auch das automatische Erstellen von streng coronalen und sagittalen Multiplanaren Reformatierungen (MPR´s). Es gibt jedoch CT-Untersuchungen, bei denen die MPR´s individuell an die Anatomie angepasst werden müssen. Doch gerade bei diesen Bildnachverarbeitungen gibt es oft Unsicherheiten darüber, worauf es ankommt und wie sie […]
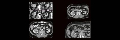
Categories: WebinarThermoablation von Nierentumoren (Webinar | Online)
Dr. med. Sascha Alexander Pietruschka Die Anwendung von ablativen Verfahren hat sich in der klinischen Praxis etabliert. Nierentumoren bieten sich für den Einsatz von RFA und Mikrowelle an. Im Dietrich Bonhoeffer Klinikum Neubrandenburg blicken wir auf 15 Jahre Erfahrung mit mehr als 100 RFA/Mikrowellenablationen von Nierentumoren zurück. Im Vortrag werden die eigenen Erfahrungen und Ergebnisse vorgestellt. Dabei wird auf die […]
Categories: WebinarKlinische Vorteile eines Software Upgrade mit künstlicher Intelligenz aus Sicht der MTR (Webinar | Online)
Jan Hendrik Falkenstein Künstliche Intelligenz spielt in der klinischen Anwendung eine immer größer werdende Rolle. Im radiologischen Sektor erfährt besonders die Magnetresonanztomographie aktuell einen regelrechten KI-Hype. Kürzere Untersuchungszeiten, eine höhere Bildqualität oder eine Kombination aus Zeit und Qualität sind theoretisch möglich, doch ist die KI in der Praxis mehr als eine Spielerei? Wie aufwendig ist es diese in den Alltag […]
Categories: WebinarEUROECHO 2021 (Sonstiges | Online)
EUROECHO 2021 09.12.2021 – 11.12.2021Berlin / Online, Deutschland / World Wide Web Eventdatum: 09.12.21 – 11.12.21 Eventort: Online Firmenkontakt und Herausgeber der Eventbeschreibung: Canon Medical Systems GmbHHansemannstr. 6741468 NeussTelefon: +49 (2131) 1809-0Telefax: +49 (2131) 1809-139http://de.medical.canon Weiterführende Links Zum Event Originalinserat von Canon Medical Systems GmbH Alle Events von Canon Medical Systems GmbH Für das oben stehende Event ist allein der […]
Categories: Sonstige12. RHEINER SYMPOSIUM FÜR GYNÄKOLOGIE UND PERINATALMEDIZIN (Sonstiges | Rheine)
12. RHEINER SYMPOSIUM FÜR GYNÄKOLOGIE UND PERINATALMEDIZIN 20.11.2021Rheine, Deutschland Eventdatum: Samstag, 20. November 2021 08:00 – 18:00 Eventort: Rheine Firmenkontakt und Herausgeber der Eventbeschreibung: Canon Medical Systems GmbHHansemannstr. 6741468 NeussTelefon: +49 (2131) 1809-0Telefax: +49 (2131) 1809-139http://de.medical.canon Weiterführende Links Zum Event Originalinserat von Canon Medical Systems GmbH Alle Events von Canon Medical Systems GmbH Für das oben stehende Event ist allein […]
Categories: Sonstige